小児矯正

生活環境や食生活の変化は、子ども達のあごの発達と歯の成長に大きな影響をもたらします。小児矯正は、その発達期の成長を手助けすることで本来の成長を促し、お子様の口腔内環境を整えます。将来、美しい歯並びと正しい咬み合わせを得るために、この時期だからできるお子様のための治療です。
部分的な歯列矯正
成人矯正のリスクが軽減されます。
乳歯と永久歯の両方が生えている時期に適切な処置をすることで、不正咬合を予防することができます。今までは、矯正治療は一般的に永久歯が生えそろってから、という考え方がほとんどでした。しかし、最近では乳歯と永久歯の両方が生えている時期に、簡単な治療や予防的な処置を施すことの重要性が注目されてはじめています。なぜなら、そうすることで本格的な矯正治療を不要にし、もし矯正治療が必要となった場合でも、その後の治療を軽くできるからです。
一般的な成人矯正の期間は2年〜2年半位ですが、小児矯正は発育に合わせて行いますので、1年半〜3年位かかることもあります。
矯正の症例
これまでの当院での治療症例とその費用をご紹介します。
一般的な矯正の治療手順
- 初診・ご相談
- 精密検査(レントゲン、口腔内の写真撮影、歯型の採取、虫歯と歯周病の検査)
- 診断、治療計画のご提案
- 矯正装置の装着、動的治療(歯を動かす期間)
- 保定(リテーナー)後、定期メンテナンス
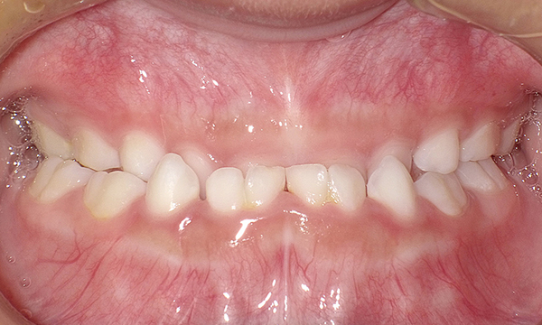
〈症例〉 反対咬合(受け口)
| 主訴 |
反対に咬んでいることが気になる |
|---|---|
| 初診時年齢 |
5歳11ヶ月 |
| 治療に用いた 主な装置 |
ムーシールド、3級用ビムラー |
| 抜歯部位 |
抜歯なし |
| 治療期間 |
2年 |
| 費用 (自由診療) |
33万円(税込) |
| リスク・ 副作用 |
●歯を動かす際に違和感や多少の痛みを伴うことがあります。 |


●小児矯正から継続して本格矯正へ移行した場合、本格矯正時のお支払いは差額分のみとなります。
●小児矯正から本格矯正へ移行する割合はおよそ3〜4割です。
●小児矯正にかかる料金は、医療費控除の対象になります。(審美目的の治療は対象外)
詳しくはお問い合わせください。