表面的な美しさだけを求めるのではなく
機能面を整えて健康な生活を目指します。

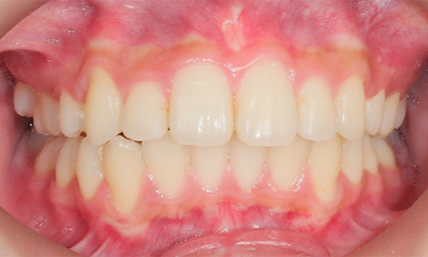
最近は、「自分の歯並びや口元、横顔をより美しくしたい。」という気持ちは、特別なものではなく、ごく一般的に受け入れられるようになってきました。悪い歯並びが劣等感となり、心理的に塞ぎ込んでしまう人も少なくありません。しかし、矯正治療を受けることでコンプレックスから解放され、生き生きとした日々を過ごすことができるというケースも、実際に多くあることです。
また、歯並びや咬合は、審美面だけではなく、呼吸・咀嚼・発音など、健康の基本となる行為に深い関わりを持っています。生涯を通して健康を維持するためには、機能においても優れた状態を保つことが大切です。
代表的な不正咬合
-
前突(出っ歯)
上あごの前歯の先端、または上あごの歯全体が前に出ている状態。指しゃぶりや口呼吸などが原因もケースも。

-
過蓋咬合
奥歯を閉じた時の、前歯の咬み込が深く、下の前歯がほとんど見えなくなるくらい閉じ過ぎになる状態。

-
叢生(乱ぐい歯)
あごのスペースが足りない、もしくは歯が大きいために、歯が重なって生えている状態。

-
反対咬合(受け口)
咬み合わせた時に下あごの歯全体が上顎の歯全体よりも前方に突出している状態。

矯正の症例
これまでの当院での治療症例とその費用をご紹介します。
一般的な矯正の治療手順
- 初診・ご相談
- 精密検査(レントゲン、口腔内の写真撮影、歯型の採取、虫歯と歯周病の検査)
- 診断、治療計画のご提案
- 矯正装置の装着、動的治療(歯を動かす期間)
- 保定(リテーナー)後、定期メンテナンス
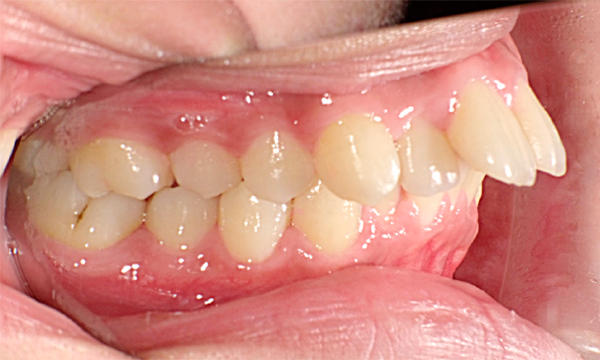
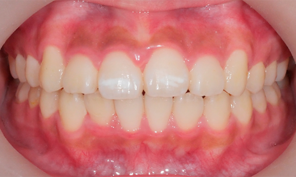
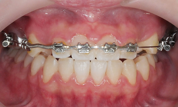
〈症例〉 叢生(乱ぐい歯)と上顎前突
| 主訴 |
出っ歯が気になる |
|---|---|
| 初診時年齢 |
16歳3ヶ月 |
| 治療に用いた 主な装置 |
マルチブラケット装置(上下顎) |
| 抜歯部位 |
上顎左側第1小臼歯・上顎右側第1小臼歯 |
| 治療期間 |
1年3ヶ月(通院15回) |
| 費用 (自由診療) |
70万円(税込) |
| リスク・ 副作用 |
●歯を動かす際に違和感や多少の痛みを伴うことがあります。 |




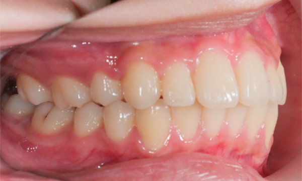
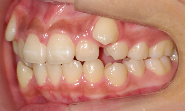
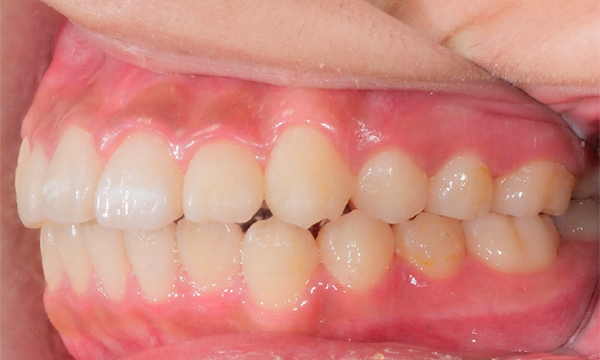
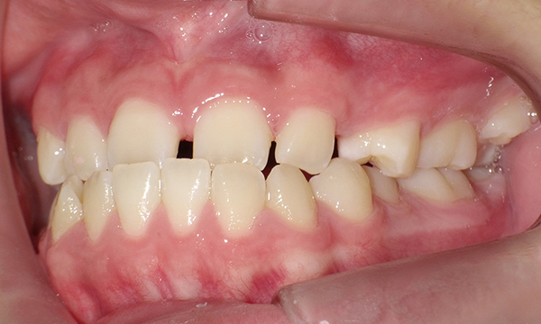
〈症例〉 叢生(乱ぐい歯)
| 主訴 |
前歯のガタガタが気になる |
|---|---|
| 初診時年齢 |
13歳3ヶ月 |
| 治療に用いた 主な装置 |
マルチブラケット装置 |
| 抜歯部位 |
抜歯なし |
| 治療期間 |
1年2ヶ月(通院14回) |
| 費用 (自由診療) |
60万円(税込) |
| リスク・ 副作用 |
●歯を動かす際に違和感や多少の痛みを伴うことがあります。 |




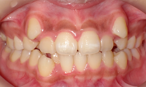
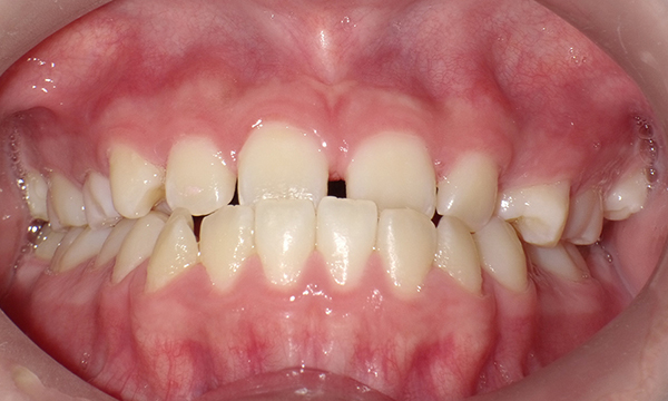
〈症例〉 反対咬合(受け口)・先天性4本欠損
| 主訴 |
反対に咬んでいることが気になる |
|---|---|
| 初診時年齢 |
14歳6ヶ月 |
| 治療に用いた 主な装置 |
マルチブラケット装置(上下顎) |
| 抜歯部位 |
なし |
| 治療期間 |
矯正治療継続中 |
| 費用 (自由診療) |
55万円(税込) |
| リスク・ 副作用 |
●歯を動かす際に違和感や多少の痛みを伴うことがあります。 |



